08 Segmentation and Proofreading
Technical Training: Nanoscale Connectomics
Session outcomes (60 minutes)
- Classify merge, split, boundary, and identity errors reproducibly.
- Prioritize corrections by expected scientific impact.
- Connect proofreading actions to quantitative QC metrics.
Pedagogical arc
- Model: error taxonomy + live correction logic.
- Practice: triage and correction on mixed cases.
- Consensus: adjudicate borderline errors.
- Check: correction log with metric rationale.
Why proofreading is scientific QC

- Correction policy determines analysis validity.
Error taxonomy visual

- Enforce explicit error-class coding in logs.
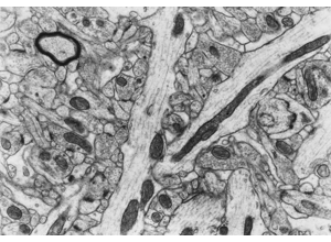
Ultrastructure-informed correction

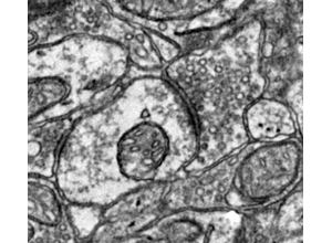
Synapse-aware correction checks

Organelle-assisted disambiguation

Boundary failure case

- Show when to stop and escalate instead of over-correcting.
Identity-sensitive correction context

Metrics and release gates

- VI
- edge precision/recall
- ERL
- synapse-centric F1
Operational proofreading loop
- Triage by expected downstream impact.
- Correct with local + global consistency checks.
- Update targeted metrics.
- Route unresolved cases for adjudication.
- Gate release on predefined thresholds.
Misconceptions to correct
- “Fix easiest errors first.”
- “Global metric improvements guarantee biological validity.”
- “Automation removes need for human policy.”
Activity
Submit one correction log containing:
- error class,
- before/after rationale,
- metric impact expectation,
- confidence and escalation status.
Rubric checkpoint
- Pass: correction decision tied to error class and metric logic.
- Strong: priority ranking aligned to scientific impact.
- Flag: edits without audit trail or rationale.
External paper figure integration
- Januszewski et al. 2018 FFN architecture/performance figures.
- Segmentation benchmark (CREMI-style) error/metric figures.
- Human-machine proofreading workflow figures from open platforms.
External inserted figure pair (open license)

- Source URLs:
- https://commons.wikimedia.org/wiki/Special:FilePath/Image-segmentation-example.jpg
- https://commons.wikimedia.org/wiki/Special:FilePath/Image-segmentation-example-segmented.png
- License: CC0 1.0 Universal Public Domain Dedication.
References and attribution
- Internal visuals: Pat Rivlin + outreach module14 assets.
- Journal-club tie-in: https://doi.org/10.1038/s41592-018-0049-4