06 Axons and Dendrites
Technical Training: Nanoscale Connectomics
Session outcomes (60 minutes)
- Classify neurites using a reproducible multi-cue protocol.
- Document uncertainty and escalation rationale for edge cases.
- Quantify classification quality with confusion-style summaries.
Pedagogical arc
- Model: expert classifies one neurite live.
- Practice: pair annotation on mixed-evidence panels.
- Consensus: adjudication and policy revision.
- Check: justified final call and uncertainty note.
Why this unit is high leverage
- Axon/dendrite identity errors distort connectivity statistics.
- Misclassification propagates into motif analysis and model priors.
- Reproducible identity policy is a prerequisite for trustworthy graphs.
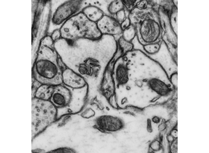
Visual context: morphology baseline

Visual context: dendritic cue panel

Visual context: axonal cue panel

Side-by-side discrimination

- Ask learners to justify which cue would survive lower image quality.
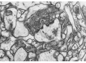
Ambiguous process case

- Train weighted-evidence reasoning, not binary heuristics.
Continuity check case

- Require short-path continuity inspection before final call.
High-complexity edge case

- Escalate unresolved ambiguity to adjudication queue.
Operational classification protocol
- Initial morphology read.
- Synaptic/organellar context check.
- Continuity check in adjacent slices.
- Confidence assignment.
- Escalation if evidence conflict persists.
Misconceptions to correct
- “Thin process = axon”.
- “One bouton-like feature determines identity”.
- “Ambiguous means annotator failed”.
Activity
Classify three ambiguous neurites and submit:
- primary label,
- cue table,
- confidence,
- alternate label and why rejected.
Rubric checkpoint
- Pass: label plus two independent cues.
- Strong: includes continuity evidence and uncertainty logic.
- Flag: unsupported hard labels.
External paper figure integration
- Kasthuri et al. 2015: process morphology examples in dense reconstructions.
- MICrONS/FlyWire morphology figures for large-scale context.
- Optional neuroanatomy atlas figure for compartment-level validation.
External inserted figure (open license)
- Source URL: https://commons.wikimedia.org/wiki/Special:FilePath/Complete_neuron_cell_diagram_en.svg
- License: Public domain (Wikimedia Commons file metadata).
References and attribution
- Internal visuals: Pat Rivlin axon/dendrite training set.
- Journal-club tie-in: https://doi.org/10.1016/j.cell.2015.06.054