05 Neuronal Ultrastructure
Technical Training: Nanoscale Connectomics
Session outcomes (60 minutes)
- Make compartment and synapse calls using multi-cue evidence chains.
- Assign confidence tiers (
high,medium,uncertain) with explicit rationale. - Separate unresolved ambiguity from incorrect labeling.
Pedagogical arc
- Model: expert think-aloud for one patch.
- Guided practice: easier then ambiguous cases.
- Consensus: resolve disagreements with rubric rules.
- Check: one fully justified call per learner.
Evidence language for this unit
- A label is a claim.
- A cue is evidence.
- Confidence is uncertainty metadata.
- Disagreement is signal about policy gaps.
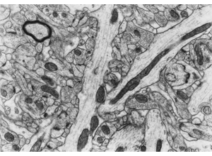
Visual grounding: compartment orientation

- Instructor move: ask learners for two independent cues before naming compartment.
Visual grounding: dendritic context

- Emphasize neighborhood context, not isolated texture patterns.
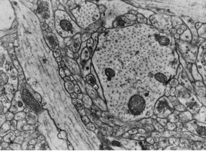
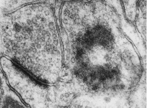
Synapse cue set

- Require membrane apposition + vesicle field + postsynaptic context.
Organelle-assisted disambiguation

- Use organelles to support or reject first-pass labels.
Comparative ambiguity case

- Teach explicit alternate hypothesis statement.
Advanced adjudication case

- Decision policy: escalate when cue conflict persists across slices.
Decision protocol (operational)
- Propose candidate label.
- Cite at least two independent cues.
- Check adjacent-slice continuity.
- Assign confidence tier and uncertainty note.
- Escalate if evidence conflict remains.
Frequent failure modes
- Single-cue overconfidence.
- Contrast-only synapse calls.
- Ignoring z-context.
- Treating uncertainty as failure.
Teaching move: misconception correction loop
- Present one intentionally ambiguous patch.
- Collect independent labels.
- Debrief by evidence chain, not by authority.
- Update shared rubric wording.
Activity (12 min)
For two ambiguous patches, submit:
- label,
- two supporting cues,
- confidence tier,
- one alternative hypothesis considered.
Rubric checkpoint
- Pass: multi-cue evidence + confidence tag present.
- Strong: rationale includes cross-slice verification.
- Flag: definitive label with weak or single evidence source.
External paper figure integration
- Kasthuri et al. 2015 (Cell): dense cortical ultrastructure examples.
- Harris & Weinberg 2012 (Cold Spring Harb Perspect Biol): synapse ultrastructure schema.
- MICrONS publications: dataset-specific morphology exemplars.
External inserted figure (open license)

- Source URL: https://cdn.ncbi.nlm.nih.gov/pmc/blobs/65c5/524270/e8555fa5f4f3/pbio.0020329.g001.jpg
- License: CC BY (PLOS Biology open-access article, Denk & Horstmann 2004).
References and attribution
- Internal visuals: Pat Rivlin proofreading training set.
- Journal-club tie-ins:
- https://doi.org/10.1016/j.cell.2015.06.054
- https://doi.org/10.1101/cshperspect.a005587